Medizinische Untersuchungsverfahren
Magnetresonanztomografie des Herzens (Herz-MRT)
Die Magnetresonanztomografie, auch Kernspintomografie genannt, wird seit vielen Jahren als bildgebendes Verfahren zur Darstellung vieler Körperregionen eingesetzt. Mit den Geräten der neuesten Generation ist es möglich, detailgenaue Untersuchungen am schlagenden Herz durchzuführen.
Mit Hilfe von Magnetfeldern und elektromagnetischen Impulsen werden mit modernster Computertechnik Bilder des schlagenden Herzens und der Gefäße erzeugt. Die Untersuchung erfolgt nicht-invasiv, das bedeutet auch ohne eine Röntgen-Strahlenbelastung für Sie.
Der besondere Vorteil dieses Verfahrens liegt darin, dass in einem Untersuchungsgang das Herz durch eine hohe räumliche Auflösung morphologisch exakt dargestellt werden kann und gleichzeitig Aussagen über die Funktion und Durchblutungsverhältnisse gemacht werden können. Die Kernspintomografie des Herzens ist derzeit die genaueste Methode z.B. zur Bestimmung der Funktion der rechten und der linken Herzkammer.
Als erste Praxis in Stuttgart führen wir diese Untersuchung seit 2005 ambulant in ärztlicher radiologischer-kardiologischer Kooperation durch. Dies bedeutet für Sie, dass während der Untersuchung sowohl ein Kardiologe, als auch ein Radiologe für Sie am Gerät verantwortlich sind, welche die Untersuchung gemeinsam planen, durchführen und befunden. Mittlerweile haben wir gemeinsam über 3500 MRT Untersuchungen in dieser Kooperation durchgeführt.
Im Unterschied zu anderen Institutionen, bei welchen zunehmend eine telemedizinische Befundung erfolgt und das Ergebnis Ihnen erst zu einem späteren Zeitpunkt mitgeteilt wird, legen wir auf eine persönliche ärztliche Betreuung und Beratung vor Ort besonderen Wert. Für Sie als Patientin, als Patient bedeutet dies, dass vor der Untersuchung ein Gespräch stattfindet, in dem Ihnen die Untersuchung erklärt wird und Fragen beantwortet werden können. Es bedeutet, dass die Untersuchung gemeinsam von einem Radiologen und Kardiologen durchgeführt und befundet wird und dass die Untersuchungsergebnisse direkt mit Ihnen besprochen werden. Selbstverständlich bekommen Sie den Befund und die Bilddateien direkt nach der Untersuchung ausgehändigt
Bei folgenden medizinischen Fragestellungen setzen wir dieses Verfahren ein:
- Bestimmung der genauen Morphologie des Herzens, besonders bei unklaren Ultraschallbefunden, Verdacht auf Raumforderungen etc.
- Bestimmung der Herzfunktion, der Pumpleistung
- Verlaufskontrolle bei Herzmuskelerkrankungen wie verschiedenen Formen von angeborenen (z.B. Dilatative Kardiomyopathie, DCM) oder erworbenen (z.B. Ischämische Kardiomyopathie, Speichererkrankungen) Herzmuskelerkrankungen
- Beurteilung von Klappenerkrankungen, Defekten im Bereich der Trennwände zwischen den Vorkammern und den Hauptkammern
- Beurteilung der Durchblutung (Perfusion) und der Beweglichkeit (Kontraktilität) unter pharmakologischer Belastung (Stress-MRT)
- Nachweis und Ausmaß von Herzmuskelentzündungen mittels T1/T2 Mapping Verfahren
- Exakte Bestimmung der Größe von Narbenareale (late enhancement) nach Myokardinfarkt oder Herzmuskelentzündungen
Beispiele für Untersuchungsbefunde:
1. Dreidimensionale Darstellung des Herzens und der Gefäße
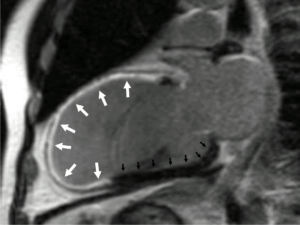
2. Darstellung einer großen Vorderwandnarbe (weiß, Pfeile) nach Kontrastmittelapplikation (normaler Herzmusskel schwarz, Pfeile).

3. Blutgerinnsel (Thrombus) im Bereich der Herzspitze nach Vorderwandinfarkt
Untersuchungsablauf
Im Rahmen einer kardiologischen Untersuchung / Vorstellung in unserer Praxis empfehlen wir Ihnen gegebenenfalls ein MRT der Herzens und vereinbaren mit Ihnen direkt einen Termin. Alternativ kann Ihr betreuender Hausarzt / Internist / Kardiologe, bei entsprechender medizinischer Notwendigkeit, direkt für Sie einen Termin über unsere Praxis vereinbaren (Tel.: 0711-4009400, E-Mail: info@herzzentrum–stuttgart.de).
Dr. Putze (Kardiologe; kardiologische Leitung der ambulanten MRT-Kooperation) hat zusammen mit der Klinik für Radiologie im Klinikum Stuttgart dieses Verfahren während seiner Tätigkeit als kardiologischer Oberarzt am Katharinenhospital etabliert und besitzt die Fachkunde Kernspintomografie des Herzens seit 2004.
Dr. Schmidt (Kardiologe) leitete in seiner Funktion als Oberarzt am Katharinenhospital kardiologischerseits die Arbeitsgruppe Kardiale Bildgebung MRT / CT.
Beide Ärzte besitzen die dauerhafte Anerkennung der Zusatzbezeichnung Kardio-MRT der Landesärztekammer Baden-Württemberg, zusätzlich die Zusatzqualifikation Kardiale Magnetresonanztomografie Level 3 der Deutschen Gesellschaft für Kardiologie (Stand 2019).
Der für die Herzdiagnostik verantwortliche Radiologe, Dr. med. A. Kalinka, besitzt die Q3 Zertifizierung der Deutschen Radiologischen Gesellschaft.
Die Untersuchung führen wir in Kooperation mit der Radiologischen Gemeinschaftspraxis im City Plaza, Rotebühlstr. 21, 70718 Stuttgart durch (http://www.radiologie-city-plaza.de). Hier stehen uns sowohl ein 1,5 Tesla Gerät (Siemens Altea) als auch ein 3,0 Tesla Gerät (Siemens Skyra) zur Verfügung.
Unmittelbar vor der Untersuchung wird Ihnen in einem persönlichen Aufklärungsgespräch das Untersuchungsverfahren erläutert. Danach werden Sie bequem auf der Untersuchungsliege gelagert. Auf den Brustkorb wird eine sogenannte Spule gelegt, welche dazu dient, die Bildsignale aufzunehmen. Bei der Untersuchung entstehen laut klopfende Geräusche. Deshalb erhalten alle Patientinnen und Patienten als Schutz einen Kopfhörer.
Schließlich wird die Untersuchungsliege in das MRT Gerät (Scanner) geschoben. Über den Kopfhörer werden Ihnen Atemkommandos mitgeteilt, um eine optimale Bildqualität zu erhalten. Mittels einem Klingelknopf in Ihrer Hand können Sie jederzeit mit uns kommunizieren.
Sehr wahrscheinlich wird es nötig sein, Ihnen während der Untersuchung ein Kontrastmittel zu verabreichen. Diese MRT-Kontrastmittel besitzen paramagnetische Eigenschaften und sind wesentlich besser verträglich als normale Röntgenkonstrastmittel. Das Risiko für eine allergische Unverträglichkeit ist sehr gering, eine relevante Gefährdung für die Nierenfunktion besteht nicht. Das Kontrastmittel wird über eine Vene verabreicht, daher wird Ihnen vor der Untersuchung eine Venenverweilkanüle am Unterarm / im Bereich der Ellenbeuge gelegt.
Falls desweiteren ein Durchblutungstest (Funktion der Herzkranzgefäße) notwendig ist, wird Ihnen zusätzlich ein Stress Medikament über eine zweite Venenverweilkanüle verabreicht werden.
Die Untersuchung kann 30-40 Minuten dauern. Nach der Untersuchung wird Ihnen in einem persönlichen Gespräch das Untersuchungsergebnis direkt mitgeteilt und das weitere Vorgehen besprochen.
Zum aktuellen Zeitpunkt können wir die Herz MRT-Untersuchung nur privat versicherten Patientinnen und Patienten anbieten. Wir sind hierbei leider an die politischen Entscheidungen der verhandelnden Parteien gebunden. Wir hoffen, dass sich diese Rahmenbedingungen im Sinne unserer Patientinnen und Patienten in naher Zukunft ändern werden und wir in der Lage sein werden, allen Versicherten ein Herz-MRT anbieten zu können.
